Programare
Programare RMN deschis
Programeaza-te acum pentru un RMN
in Bucuresti
Program pentru RMN
Luni – Vineri – 8:00 – 20:00
Sambata – Duminica – Inchis
Tipuri de RMN:
Descopera toate tipurile de RMN, suna si programeaza-te acum pentru o investigatie imagistica
Programari telefonice de urgenta RMN
Suna la : 0721 197 077
RMN deschis Bucuresti
Servicii medicale la standarde europene
Cabinetul nostru de imagistică medicală oferă servicii premium de RMN deschis, respectând cele mai înalte standarde europene. Dispunem de echipamente de ultimă generație, care asigură imagini clare și precise, esențiale pentru un diagnostic corect. Confortul pacienților este prioritar, tehnologia RMN deschis eliminând senzația de claustrofobie. Echipa noastră de specialiști, formată din profesioniști cu vastă experiență, garantează o abordare personalizată și grijulie. Alegând cabinetul nostru, beneficiați de excelență medicală, siguranță și confort, toate într-un mediu modern și prietenos. Suntem dedicați sănătății dumneavoastră, oferind servicii de top la standarde internaționale.
Toate serviciile noastre








Dacă aveți durere , slăbiciune sau umflare în jurul genunchiului , este posibil să aveți nevoie de un RMN al genunchiului .
RMN deschis la gambă se referă la o procedură de imagistică prin rezonanță magnetică (RMN) efectuată pentru a examina structurile interne ale gambei
Un RMN al gleznei este un instrument util pentru a detecta și diagnostica afecțiunile gleznei.
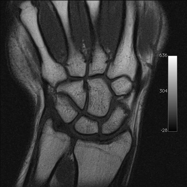
MN-ul deschis la pumn se referă la o procedură imagistică de rezonanță magnetică nucleară (RMN) în care mâna este poziționată într-un aparat RMN deschis
Un RMN deschis la umăr se face pentru a diagnostica și evalua diverse afecțiuni și leziuni ale umărului, oferind imagini detaliate ale structurilor interne
Un RMN la coapsă se face pentru a diagnostica și evalua diverse afecțiuni și leziuni ale acestei regiuni.
RMN-ul deschis la încheietură este o procedură de imagistică medicală utilizată pentru a obține imagini detaliate ale structurilor interne ale încheieturii mâini
Ce presupune consultul RMN
Investigația de RMN deschis (rezonanță magnetică nucleară) este o procedură de imagistică medicală non-invazivă care utilizează un câmp magnetic și unde radio pentru a crea imagini detaliate ale structurilor interne ale corpului. Spre deosebire de RMN-ul tradițional, care implică un tub închis, RMN-ul deschis este proiectat pentru a fi mai confortabil pentru pacienții care suferă de claustrofobie, au anxietate sau sunt supraponderali.
Medici specialisti in raportare RMN Masaya
Echipa de doctori ortopezi, cu o experiență de peste 10 ani în cele mai renumite spitale din Marea Britanie și din Europa, este supraspecializată în chirurgia modernă minim invazivă și chirurgia artroscopică a membrului inferior sub coordonarea Dr. Philip Hirst, medicul ortoped renumit al echipei Manchester United.
Echipa deține o a doua specializare în Medicină Sportivă, fiind una dintre puținele echipe medicale cu dublă specializare în ortopedie și medicină sportivă din lume. Această dublă specializare le-a permis să evolueze foarte mult în chirurgia minim invazivă și chirurgia artroscopică. De asemenea, echipa este implicată în cercetări doctorale în Biomecanica genunchiului.
Solutii Complete pentru RMN Deschis in Bucuresti
RMN-ul deschis este utilizat pentru a diagnostica o varietate de afecțiuni, inclusiv probleme ale articulațiilor, coloanei vertebrale, creierului și organelor interne. Este o metodă de investigație sigură și eficientă, cu avantaje semnificative pentru confortul pacientului. În special, în orașe mari precum București, unde accesul la tehnologie medicală avansată este facilitat, RMN-ul deschis reprezintă o opțiune excelentă pentru pacienți. Dacă sunteți în căutarea unei consultații imagistice în București, contactati clinica Masaya care oferă servicii de RMN deschis, adaptate nevoilor specifice ale pacienților.
Parerile clientilor nostri








Descopera echipa noastra de medici ortopezi profesionisti
La compania noastră, suntem mândri să avem o echipă de medici ortopezi de excepție, dedicați și profesioniști. Fiecare membru al echipei noastre aduce o vastă experiență și cunoștințe în domeniul ortopediei, asigurând astfel tratamente de cea mai înaltă calitate pentru pacienții noștri.
Medicii noștri sunt specializați în diverse ramuri ale ortopediei, de la traumatologie și chirurgia articulațiilor, până la tratamentele minim invazive și terapia non-chirurgicală. Aceștia sunt mereu la curent cu cele mai recente inovații și tehnici medicale, participând regulat la conferințe și cursuri de specializare, pentru a oferi pacienților cele mai bune soluții medicale disponibile.

Ruptura menisc
Rupturile meniscale acute apar după traumatismul rotativ al genunchiulu

Ruptura ligamentului încrucișat anterior
rupturile ligamentului încrucișat anterior (ACL) sunt cele mai frecvente leziuni ale ligamentelor

Leziuni ale cartilajului
Termenul de leziune a cartilajului sau leziune a cartilajului articular rezumă un spectru de diferite leziuni ale cartilajului

Sistem de clasificare RMN
zonă focală mică de hiperintensitate, fără extensie la suprafața articulară . Zone liniare de hiperintensitate, fără extensie la suprafața articulară
Programul pentru programari la RMN
Luni – Vineri – 8:00 – 20:00
Sambata – Duminica – Inchis
Pentru programari urgente sunati la : 0721 197 077
